|
【医线直击】穿刺技术新跨越:从浅表器官到深部脏器的超声介入应用
时间:2025-05-12 09:02:59
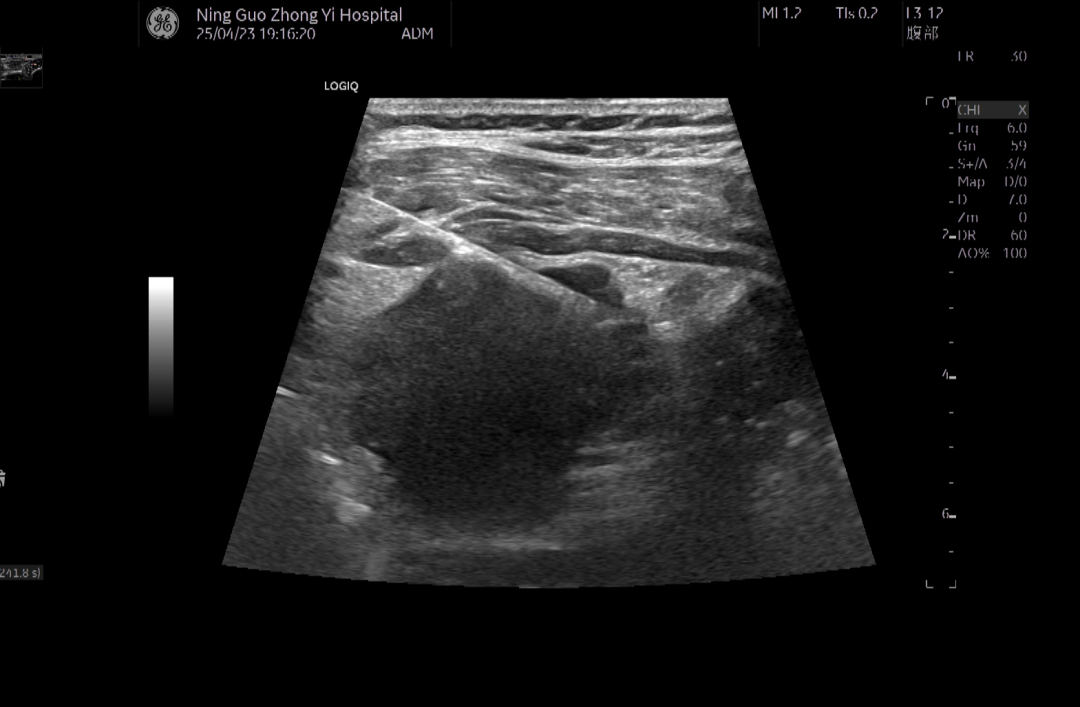
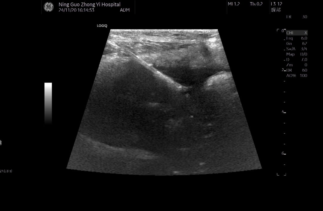
近期我院超声科迎来一例怀疑肠道肿瘤肝转移的患者,为明确病理,行腹腔内肠道周边肿块穿刺活检,经一番穿刺术前检查后,在超声实时监视引导下经皮经腹腔,穿刺针精准到达肿块边缘,击发成功,取得满意组织条,术中无明显出血,术后加压包扎,密切观测生命体征,无并发症。病理报告腺癌,明确了诊断,为下一步治疗指明方向。 近期超声科也遇到一例外周肺实变的患者,为明确病理,行实变肺组织穿刺活检,经一番穿刺术前检查后,在超声实时监视引导下经皮经胸腔,穿刺针精准到达实变肺组织内,击发成功,取得满意组织条,术中无明显出血,术后密切观测生命体征,无并发症。病理报告显示实变肺组织为炎性组织,明确了诊断,确定了治疗方向,取得满意效果。去年超声科对一位周围型肺肿块患者也在超声实时监视引导下经皮经胸腔行肿块穿刺活检,做了病理和免疫组化检测,明确诊断为肺腺癌,为治疗方案提高了依据。 我院超声科超声介入从过去的甲状腺、乳腺结节以及浅表淋巴结穿刺活检到如今的胸腹腔脏器肿块的穿刺活检是一个技术不断进步不断成熟发展的飞跃。超声科将不断提升实力,精准高效的服务好病患。 |
