|
市中医院外科团队独立完成胸腔镜下纵隔肿瘤切除术
时间:2025-06-19 08:51:08
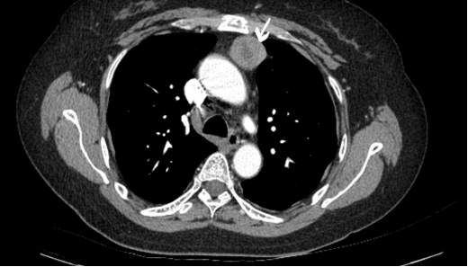
日前,我院外科团队成功为1位纵膈肿瘤患者施行了胸腔镜下纵隔肿瘤切除术,手术的成功标志着我院胸外科技术水平上了一个新台阶。 56岁的黄女士体检发现左上纵隔占位,肿瘤较大,且紧邻心脏大血管,恰似一颗“隐形炸弹”,入院后进一步检查提示,黄女士面临多重基础疾病威胁:慢性肾脏病Ⅲ期、贫血、双侧胸腔积液。 纵隔肿瘤的传统开胸手术不仅创伤大,还极有可能引发加重肾功能不全、肺部感染、呼吸衰竭、脓胸等多项并发症,而腔镜微创手术能在很大程度上减轻手术风险和并发症。 术前我院外科团队联合多学科对患者进行综合评估,并制定了针对性腔镜下治疗方案,排除手术禁忌,如肾病科团队就患者肾功能不全定制肾功能防护方案:避免肾毒性麻醉药物,术后皮下注射促红素纠正贫血,实现患者术后肌酐维稳等。 手术切口3cm主操作孔+1.2cm观察孔,术中通过仔细分离组织间隙,完整切除约3.0cm*3.0cm*2.5cm大小肿块,全程未损伤血管神经,控制出血量<50ml(为贫血患者守住了生命线),手术时间仅1小时,充分保护了患者肾功能。 术后医护人员共同密切监测患者生命体征、胸腔引流量等,并采用中西医结合治疗,促进患者术后康复,第3天即拔除胸腔闭式引流管,术后6日即康复出院! 我院外科团队本次自主完成胸腔镜下纵隔肿瘤切除术,不仅体现了外科团队技术水平的进一步提升,更减轻了患者外出就医负担。 宁国市中医院外科团队温馨提示:纵隔肿瘤因为累及部位不同,会引起不同的不适,如出现呼吸困难、发热、咳嗽、吞咽困难、声音嘶哑、声带麻痹等症状,请立即到医院就诊。 咨询电话:0563-4011813 上图为纵膈肿瘤位置标识 |
