|
医学影像守护你——“胰”路平安
时间:2025-02-19 09:37:07
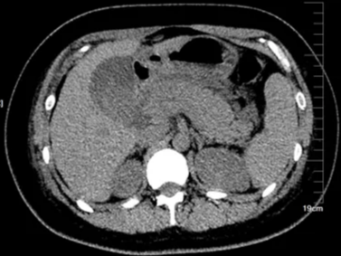
新年亲朋好友相聚在一起,围坐火锅旁,牛肉、羊肉轮着来,大鱼大虾也不缺,在开心大吃及开怀畅饮之余,一次胰腺的“自卫反击战”已打响,是否有些人吃着吃着就突然腹痛了,很有可能就得了急性胰腺炎。 急性胰腺炎是个自我消化作用导致的疾病,胰腺里面保存了很多消化液,没犯病时“乖乖的呆着”,对食物消化有着领导作用;可一旦人们暴饮暴食和酗酒,消化液就会“跑出来”开始消化胰腺自己,严重的甚至消化周围的器官,导致胰腺和周围组织坏死。急性胰腺炎分为轻型(水肿型)和重型(出血坏死型)两种,临床上轻型病人约占90%,重型占10%。其中出血坏死型胰腺炎特别凶险,常并发中毒性休克和多器官功能衰竭,死亡率极高,让患者命悬“胰腺”。 急性胰腺炎在影像上分为:间质水肿性胰腺炎、急性坏死性胰腺炎。 间质水肿性胰腺炎 胰腺肿大,边缘模糊,胰周积液 间质水肿性胰腺炎CT特征: ①胰腺体积弥漫性增大,密度正常或为均匀、不均匀轻度下降,渗出明显者除胰腺轮廓模糊外,还可有胰周积液。 ②增强扫描,胰腺均匀强化,无不强化的坏死区。 坏死性胰腺炎 坏死性胰腺炎CT特征: ①胰腺体积常有弥漫性明显增大,胰腺水肿则CT值降低,坏死区的CT值更低;而出血区的CT值明显增高,整个胰腺密度显得很不均匀;增强扫描坏死区无强化而对比更明显; ②胰周出现明显积液,常首先累及左侧肾旁前间隙; ③肾筋膜可因炎症而增厚。 胰腺炎虽然凶险,但通过影像检查可以早期发现,完全可以降低其对健康的威胁。祝大家以后的日子都能“胰”路平安。
上一页;
咳嗽有痰不易咳怎么办?教你7种排痰好方法!
下一页:
心房颤动-隐形的杀手
|
